Pretecho
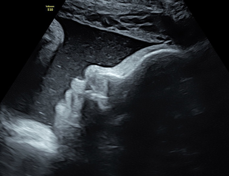
Tussendoor echo
Vanaf wk 8 tot wk 30
Kun jij niet wachten om jullie baby te ontmoeten? Een tussendoorecho biedt je een kort extra inkijkje van 15 minuten in je buik. Dit is het perfecte moment om je kindje te bewonderen: zijn of haar neusje, handjes en voetjes te bekijken. Opa’s, oma’s of andere dierbaren zijn van harte welkom om dit bijzondere moment samen met jou te delen. Heb je je afspraak al ingepland?

15 minuten
€40

Wat kun je verwachten?
Tijdens de tussendoorecho krijg je een beeld van je baby in 2D. Een tussendoor echo kan in principe de gehele zwangerschap vanaf 8 weken, na 32 weken is vaak het gezicht van je baby niet zo goed meer in beeld te brengen. Bij een vroege echo’s <11 weken wordt er niet geluisterd naar de hartslag van de baby. Natuurlijk ontvang je een aantal foto’s als herinnering.
Tip: Je kunt een USB-stick kopen om bewegende beelden van je baby op te slaan.
Onze werkwijze
Je kunt je eenvoudig aanmelden voor een pretecho via onze website. Daarna wordt je teruggebeld door onze assistente. Als je onder zorg bent bij onze verloskundigenpraktijk, kun je ook een afspraak maken tijdens je zwangerschapscontroles.
Mocht je kindje zich verstoppen, dan mag je gratis terugkomen voor een extra echo van 15 minuten. De betaling kan per QR-code plaatsvinden.
Met ervaren echoscopisten




Toegankelijke, persoonlijke zorg
Waarom een pretecho?
Tijdens een pretecho bekijken we je baby uitgebreid. Het is mogelijk om familie, vrienden of broertje of zusje ook een kijkje in jouw buik te geven.


Wat eerdere zwangeren zeggen...
Er werd veel tijd genomen om ons kindje te bekijken, naast het gezichtje kregen we ook de handje en tenen te zien van ons baby! Het was zo leuk om nog een keer te kunnen kijken bij onze baby.
Anoniem
Hartelijk bedankt voor de fijne begeleiding tijdens de zwangerschap. Het was niet zoals verwacht, maar ik heb jullie meelevendheid zeer gewaardeerd.
Anoniem
We kregen veel foto's mee bij de echo en de foto's stonden ook in de orfeus app, op deze manier konden we ze makkelijk delen met familie! Bedankt voor de mooie echofoto's!
Anoniem
Veelgestelde vragen
Hoe kan ik de betaling voldoen?
Het is mogelijk om contant te betalen of via QR-code direct te betalen na de echo.
Hoe betrouwbaar is een geslachtsbepaling?
Een geslachtsbepaling geeft nooit 100% zekerheid, de betrouwbaarheid bij 15-16 weken ligt op 98-99%.
Wat zijn de kosten van de verloskundige zorg en medische echo's?
Verloskundige zorg wordt vergoed vanuit de basiszorgverzekering. Daarnaast worden onderzoeken als NIPT, 13 weken echo en 20 weken echo vergoed vanuit de rijksoverheid. Een poliklinische bevalling op eigen wens wordt niet vergoed vanuit de basisverzekering, de exacte kosten kun je vinden bij je zorgverzekeraar. Bij een aanvullende verzekering kan je de kosten deels of geheel vergoed krijgen. Het zwangerschapslab wordt ook vergoed vanuit de overheid. Aanvullend labonderzoek zoals bescherming tegen waterpokken, gaat van je eigen risico af.
Is echoscopie veilig voor mij en de baby?
Echoscopie wordt al vele jaren gebruikt, tot op heden zijn er geen nadelig of schadelijke effect aangetoond voor de baby. De geluidsgolven die bij echoscopie worden gebruikt, lijk dus niet schadelijk en de apparatuur voldoet aan de richtlijnen die de kans op schade vrijwel nihil maken.
Moet ik met een volle blaas naar de eerste echo komen?
Een hele volle blaas is niet nodig, maar ga ook niet net voor de echo plassen. Bij een inwendige echo is juist een lege blaas belangrijk.
Krijg ik foto’s mee?
Ja, je krijgt een aantal afgedrukte zwart-wit foto van ons mee. Indien je ook de zwangrschapscontrole bij ons hebt, kun je de echo's ook terug zien in je orfeus app. De inloggegevens krijg bij de eerste afspraak van onze assistente. Voor zwangeren die niet bij ons onder zorg zijn, is er de mogelijkheid voor een USB stick bij ons te kopen om alle beelden mee te nemen naar huis. Het is niet mogelijk je eigen USB mee te nemen i.v.m virussen en beveiliging van ons systeem.
Vanaf wanneer kan ik een pretecho doen?
Een pretecho kan de gehele zwangerschap. De mooist 3D beelden zijn te maken tussen de 25-30 weken zwangerschap.
Wat als de baby niet goed ligt?
Als de baby niet goed ligt bij een pretecho vind er een kosteloze herhaling van 15 min. Dit geldt voor alle pretecho's.
Vanaf wanneer kunt je het geslacht zien?
Wij plannen een geslachtsecho vanaf 15 weken zwangerschap.
Mag ik iemand meenemen naar de echo's?
Naar de termijnecho, groeiecho's, liggingsecho's en pretecho's mag je altijd meerdere personen en kinderen meenemen. Naar de medische echo's (13 weken echo en 20 weken echo) vragen we jullie met een begeleider te komen en kinderen thuis te laten. Dit in verband met de concentratie van onze echoscopiste.
Wat is het verschil tussen een pretecho en een medische echo?
Een pretecho is een extra echo om naar je baby te kijken en mooie beelden te maken, er wordt hierbij in principe niet gekeken naar aangeboren afwijkingen. Mocht ons iets opvallen, zullen wij dit natuurlijk met jullie delen. Het is alleen niet het doel van deze echo. Mocht je weten dat jouw kindje een aangeboren afwijking heeft, breng ons van te voren graag op de hoogte. Een medische echo als de 20 weken echo heeft als doel het opsporen van aangeboren afwijkingen, hierbij is er dus weinig tijd voor het maken van leuke plaatsjes van jouw baby.
Hoe kan ik de betaling voldoen?
Het is mogelijk om contant te betalen of via QR-code direct te betalen na de echo.
Hoe betrouwbaar is een geslachtsbepaling?
Een geslachtsbepaling geeft nooit 100% zekerheid, de betrouwbaarheid bij 15-16 weken ligt op 98-99%.
Wat zijn de kosten van de verloskundige zorg en medische echo's?
Verloskundige zorg wordt vergoed vanuit de basiszorgverzekering. Daarnaast worden onderzoeken als NIPT, 13 weken echo en 20 weken echo vergoed vanuit de rijksoverheid. Een poliklinische bevalling op eigen wens wordt niet vergoed vanuit de basisverzekering, de exacte kosten kun je vinden bij je zorgverzekeraar. Bij een aanvullende verzekering kan je de kosten deels of geheel vergoed krijgen. Het zwangerschapslab wordt ook vergoed vanuit de overheid. Aanvullend labonderzoek zoals bescherming tegen waterpokken, gaat van je eigen risico af.
Is echoscopie veilig voor mij en de baby?
Echoscopie wordt al vele jaren gebruikt, tot op heden zijn er geen nadelig of schadelijke effect aangetoond voor de baby. De geluidsgolven die bij echoscopie worden gebruikt, lijk dus niet schadelijk en de apparatuur voldoet aan de richtlijnen die de kans op schade vrijwel nihil maken.
Moet ik met een volle blaas naar de eerste echo komen?
Een hele volle blaas is niet nodig, maar ga ook niet net voor de echo plassen. Bij een inwendige echo is juist een lege blaas belangrijk.
Krijg ik foto’s mee?
Ja, je krijgt een aantal afgedrukte zwart-wit foto van ons mee. Indien je ook de zwangrschapscontrole bij ons hebt, kun je de echo's ook terug zien in je orfeus app. De inloggegevens krijg bij de eerste afspraak van onze assistente. Voor zwangeren die niet bij ons onder zorg zijn, is er de mogelijkheid voor een USB stick bij ons te kopen om alle beelden mee te nemen naar huis. Het is niet mogelijk je eigen USB mee te nemen i.v.m virussen en beveiliging van ons systeem.
Vanaf wanneer kan ik een pretecho doen?
Een pretecho kan de gehele zwangerschap. De mooist 3D beelden zijn te maken tussen de 25-30 weken zwangerschap.
Wat als de baby niet goed ligt?
Als de baby niet goed ligt bij een pretecho vind er een kosteloze herhaling van 15 min. Dit geldt voor alle pretecho's.
Vanaf wanneer kunt je het geslacht zien?
Wij plannen een geslachtsecho vanaf 15 weken zwangerschap.
Mag ik iemand meenemen naar de echo's?
Naar de termijnecho, groeiecho's, liggingsecho's en pretecho's mag je altijd meerdere personen en kinderen meenemen. Naar de medische echo's (13 weken echo en 20 weken echo) vragen we jullie met een begeleider te komen en kinderen thuis te laten. Dit in verband met de concentratie van onze echoscopiste.
Wat is het verschil tussen een pretecho en een medische echo?
Een pretecho is een extra echo om naar je baby te kijken en mooie beelden te maken, er wordt hierbij in principe niet gekeken naar aangeboren afwijkingen. Mocht ons iets opvallen, zullen wij dit natuurlijk met jullie delen. Het is alleen niet het doel van deze echo. Mocht je weten dat jouw kindje een aangeboren afwijking heeft, breng ons van te voren graag op de hoogte. Een medische echo als de 20 weken echo heeft als doel het opsporen van aangeboren afwijkingen, hierbij is er dus weinig tijd voor het maken van leuke plaatsjes van jouw baby.
